In the default view, MIPAV displays the images in a dataset one at a time in an image window. This window can display datasets of any dimension.
Images open in the default image windows
|
|
|
A view refers to the way an image file is displayed. A view indicates how many images are shown at one time and whether images are advanced manually or automatically. Depending on the view, the size and shape of the image window in which an image is displayed can vary.
This page explains how to display image files in the default, lightbox, and cine view, however, MIPAV allows you to display images using other views also.
|
Icon
|
View
|
Icon
|
View
|
| Default | Surface plotter | ||
| Animate | Volume renderer | ||
| Cine (movie) | Tri-planar | ||
| Lightbox | Tri-planar dual | ||
| Link to another image | Volume Tri-planar |

The lightbox view is similar to the default view, except that all images in the dataset appear in one window at the same time.
Click Magnify Region and move the pointer to the image section to be magnified. Click Default Mode when finished. Double-clicking an image in the lightbox view updates the 2D image frame for that image.
When you view an image file in cine view, MIPAV automatically advances images one frame at a time. The effect is much like a film loop.
MIPAV allows you to magnify images from 1.5 to 32 times the size of the original image. Using the magnification tools, you can magnify or minify the entire image or just a portion of the image. Much like a traditional magnifying glass, the magnification box can also minify-or reduce the level of magnification-a portion of the image.
To magnify an image, click the Magnify Image icon, and then click the image. Each time you click the Magnify Image icon and click the image, the image doubles in size. If an image is too large for the current window size, scroll bars appear, and you may need to manually adjust the size of the window.
To reduce the magnification level of an image, click Minify Image. Each time you click the Minify Image icon, MIPAV reduces the magnification level of the image by half.
To return the image to its original size or original level of magnification, click Original Magnification.
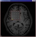
The Magnify Region icon allows you to view a square portion, or region, of the image at a specific magnification level. If you have loaded two images into the same image window, the Window Region of Image B icon appears on the toolbar. Use this icon to view a region on the second image, or Image B.

|
Magnification
|
Move the Magnification slide to the right to increase the magnification level or to the left to decrease the magnification level |
| Display intensity values | When you slide the Magnification slider right past a certain point, this check box becomes active. |
| Size | Type either a higher number for a larger region or a lower number for a smaller region in the Width box. Valid values range from 64.0 to 198.0. Note: The larger size magnifying glass such as shown in B and C allows to inspect a larger region of the image. |
| Apply | Applies the changes. |
| Close | Closes the dialog box. |
Tip: To review or compare a magnified region of the image with the same region at its original magnification, press Shift. To return to the Magnified view, release the key.
1 Right-click on the image while displaying a magnified region. The Magnification dialog box opens.
2 Complete the dialog box, and then press Apply.
3 The magnification level shown in the magnified region changes to the level you specified.

The Display intensity values check box on the Magnification dialog box allows you to display the intensity values within a magnified region of the image.
Tip: If you hold down the middle mouse button, MIPAV writes the intensities by position within the image to the Data page of the Output window. You can then save these messages and print them.

This section explains how to improve image contrast, add color to images, and create negative images by applying a quick lookup table (LUT), generating and modifying a histogram, applying pseudo-color LUTs, and creating negative images by inverting their color.
Histogram- is a representation of a frequency distribution by means of rectangles whose widths represent class intervals and whose areas are proportional to the corresponding frequencies.
Lookup table (LUT)- maps the frequency distribution in a histogram to pseudo-color values.
An easy way to improve the contrast in an image is by using the Quick LUT icon, which is located on the image toolbar in the expanded MIPAV window.