MIPAV feature list

Click on the links below for more information on MIPAV's features.

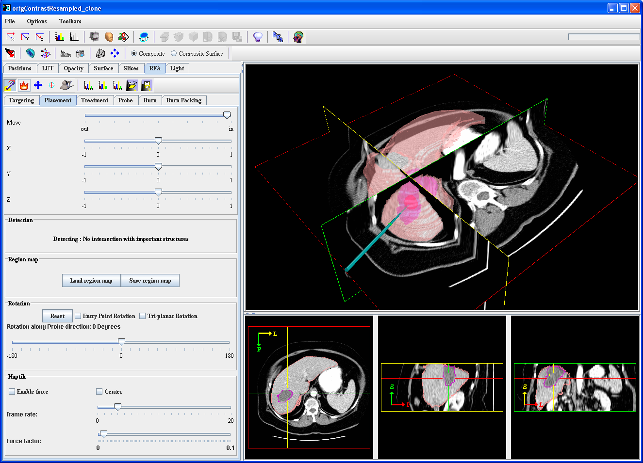
RFA simulation in MIPAV
Photo of haptic system which can be used with MIPAV's RFA simuliation visualization.
3D stereo visualization in MIPAV.


Iso-surface rendering movies:

Iso-surface rendering movie 1 Iso-surface rendering movie 2 Iso-surface rendering movie 3


Virtual endoscopy movie:

Virtual endoscopy tool movie


RFA burn simulation movie:

RFA burn simulation movie


(To watch the .mov files on this page, you will need QuickTime player.)